试题详情
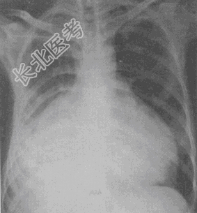
- 单项选择题患者,女, 26岁,端坐呼吸、乏力、腹胀, 心音遥远,胸部正侧位摄片示心影增大, 如图,最可能的诊断是

A、心包积液
B、缩窄性心包炎
C、扩张性心肌病
D、肥厚性心肌病
E、风湿性心脏病二尖瓣狭窄
关注下方微信公众号,搜题查看答案

热门试题
- 软X线摄影主要是利用X射线的 (
- 放大率不变的体层机型是A、直线移动型B、
- 关于MRCP,叙述正确的是A、不需要注射
- 造釉细胞瘤的MRI信号特点为A、T
- 哪种疾病可致肾影缩小 ( )A、
- 以下哪项是提高信噪比的基本措施 (
- 患者男,64岁,胸部隐痛伴眼睑下垂2个月
- 与螺旋CT时间分辨力相关的是A、采集速度
- 关于腹部扫描基线,叙述正确的是A、肝、脾
- 下列关于眶内脑膜瘤的影像特点,哪项说法错
- 颈部肿块最多见于 ( )A、甲状
- X线管管套的功能不包括A、射线防护B、防
- 属于颈外动脉分支的血管是A、甲状腺上动脉
- 关于骨关节软组织CT扫描,错误的是A、为
- 下列属于个人防护用品的是A、防护帽 B、
- 窗宽100HU窗位为40HU时,所包含C
- 男,43岁, 右颈部扪及一包块,CT如图
- X线胶片反差系数为A、景物反差与影像反差
- 男,36岁,被对面行驶的自行车撞伤3小时
- 正常成人膀胱容量是A、50~100mlB