试题详情
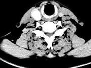
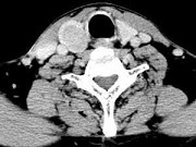
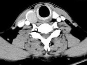
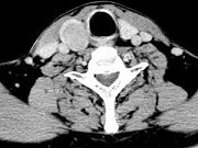
- 单项选择题男,43岁, 右颈部扪及一包块,CT如图所示, 最可能的诊断是 ( )

A、甲状腺腺瘤
B、甲状腺腺癌
C、结节性甲状腺肿
D、甲状腺原发淋巴瘤
E、甲状腺转移瘤
关注下方微信公众号,搜题查看答案

热门试题
- 滑环技术的主要功能是 ( )A、
- 关于MR尿路造影技术,叙述错误的是A、扫
- 鼻窦中恶性肿瘤最多发生在A、前组筛窦B、
- 胸部CT高分辨率扫描主要用于检查A、中心
- 关于甲状腺肿物CT检查的描述,不正确的是
- 以下哪项是用来表示CT机空间分辨率的
- 改善DSA图像质量措施不包括A、正确匹配
- 膈下肋骨一般系指A、6~12肋B、7~1
- 高浓度顺磁造影剂对质子弛豫时间的影响为
- 屏/片与数字平板X线摄影的共同之处是A、
- 关于食管蠕动的叙述,错误的是A、第1蠕动
- 由Stewart-Hamilton关系式
- 关于潜影形成的叙述,错误的是A、溴化银中
- 关于测量模体内装有的材料,叙述正确的是A
- 体层摄影过程中,位置固定不变的是A、胶片
- 不易在冠状位CT上显示的颌面骨骨折是A、
- 关于乳腺检查中,下列哪些是正确的
- 正常骨膜内一般不含有 ( )A、
- 动态扫描技术叙述不正确的是 (
- 关于颈淋巴管瘤CT表现的描述,错误的是