试题详情
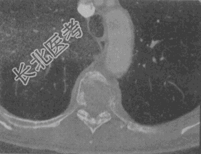
- 单项选择题女,58岁, 背部隐痛2个月余,1年前行乳癌根治术, 结合影像学检查,最可能的诊断

A、脊椎结核
B、脊膜瘤
C、神经鞘瘤
D、室管膜瘤
E、脊柱转移瘤
关注下方微信公众号,搜题查看答案

热门试题
- 过敏试验最费时间的方法是A、皮内试验B、
- 磁场对环境的影响范畴不包括A、依机械原理
- 膈上肋骨前后位摄影时,呼吸与屏气方式为A
- 消化道造影的价值,以下描述哪项不当
- 早期胃癌确诊的首选方法是A、超声B、CT
- 与影响X线质的因素无关的是A、管电压峰值
- 关于显影的叙述,错误的是A、显影是氧化还
- 体层摄影过程中,位置固定不变的是A、胶片
- 人体大体解剖学中,确定内侧或外侧的标志是
- DSA检查的禁忌证不包括A、严重的心、肝
- 男,31岁,反复咳嗽,咯血10年余,结合
- 1、依据以上临床表现及CT检查所示,该患
- 脑梗死CT上“模糊效应”的时间是A、1周
- 表示踝关节侧位体位标准的标志是A、胫腓骨
- X线影像上,关节间隙包含A、骨端、关节软
- 关于颅脑CT增强扫描,叙述正确的是A、颅
- 下列哪一项不属于流空现象的范畴 (
- 横断面CT扫描颞骨,主要包括层面为
- 关于空间分辨率,下面哪一组提法是正确的:
- 关于切线投影的叙述,错误的是A、中心线从