试题详情
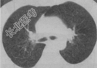
- 单项选择题患者女,23岁, 咳嗽咳痰反复发作,根据CT图像, 最可能的诊断是

A、支气管扩张并感染
B、多发肺气囊
C、多发性肺囊肿并感染
D、多发性肺脓肿
E、大叶性肺炎
关注下方微信公众号,搜题查看答案

热门试题
- 下列关于鼻咽癌T分期的描述,正确的是A、
- 在常规后前位胸片上不能完全显示影像的左肺
- 十二指肠球部溃疡龛影的显示,首选以下哪项
- 胸部后前位摄片胶片下缘应包括 (
- CT成像系统中的一个重要部件是数据采集系
- CT扫描时,球管连续旋转曝光, 检查床不
- DSA双能减影时,后一帧图像比前一帧图像
- 非放射专业学生教学期间,有效剂量当量不得
- 男,44岁, 车祸伤及左侧眉弓和头部,半
- 属于上肢带骨的是A、腕骨B、肱骨C、锁骨
- 35岁男性,自述无不适, 体检US示全肝
- 下列"脊柱结核"MRI征象,哪项不对A、
- 所谓二级放射事故,对公众人员而言,是指受
- 常用于慢流静脉及静脉窦成像的技术是A、3
- 病人仰卧,影像增强器转至病人右前方的摄影
- 关于胶片的叙述,错误的是 ( )
- 用MRI检查骨折,下列不正确的是 (
- 胸部后前立位标准片所见,哪项是错误的
- 为消除血流伪影可采取的技术为 (
- 患者,女, 32岁,右下颌骨膨隆。CT示