试题详情
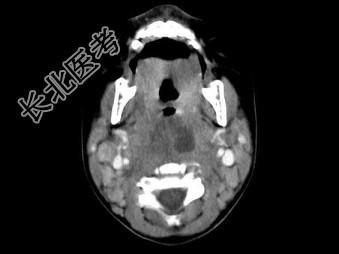
- 多项选择题10个月大的婴儿,发热, 曾患中耳炎,CT扫描如图所示, 正确的描述或诊断是 ( )

A、咽后壁软组织肿胀
B、其内密度不均
C、颈椎骨质未见明显异常
D、咽后壁脓肿
E、咽后壁寒性脓肿
关注下方微信公众号,搜题查看答案

热门试题
- 下面关于脊柱CT扫描技术的叙述正确的是A
- 有关X线摄影,错误的是A、X线束是从X线
- 患儿,男,12岁。CT示松果体区肿瘤,肿
- 关于鼻乳头状瘤的CT征象,正确的有A、鼻
- 关于管电压的叙述正确的是A、是指加于X线
- 高浓度顺磁造影剂对质子弛豫时间的影响为
- 缩写IV-DSA正确解释是A、数字减影B
- 女,58岁, 背部隐痛2个月余,1年前行
- 下面对生殖系统及盆腔MRI技术的叙述错误
- 下列组合正确的是A、碘帕醇——无机碘化物
- CT成像原理利用的是A、多方位成像特性B
- 有关CT图像伪影的概念,正确的论述是
- 关于肝海绵状血管瘤的CT表现,哪一项是错
- CT准直器位于X线管前端的X线出口处,其
- 发现X线的时间是A、1895年11月8日
- X线胶片的感光测定方法,错误的是A、距离
- 纵向弛豫是指A、T2弛豫B、自旋-自旋弛
- 关于"急性膀胱炎"的诊断要点,错误的是A
- 锁骨正位片:锁骨显示为∽形弯曲为 (
- 甲状腺侧叶上极不超过 ( )A、