试题详情
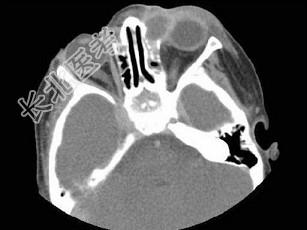
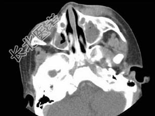
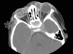
- 多项选择题女,2岁, 左侧眼睑肿胀发热,CT检查如图所示, 正确的描述或诊断是 ( )

A、左侧鼻骨外侧旁见软组织块影
B、其内密度不均,可见低密度影
C、左侧鼻泪管囊肿
D、鼻泪管脓肿
E、混合瘤
关注下方微信公众号,搜题查看答案

热门试题
- 内耳畸形常见的有A、Michel畸形B、
- 面总静脉注入A、颈内静脉B、颈外浅静脉C
- 女,50岁, 消瘦、多饮多食,脖子粗大,
- 视路的组成包括A、视神经B、视交叉C、视
- 在快速自旋回波(TSE)序列中 (
- X线管管套的功能不包括A、射线防护B、防
- 老年患者,右侧面部肿胀, 呈青紫色,MR
- 改善DSA图像质量措施不包括A、正确匹配
- DR与CR相比A、时间分辨力和空间分辨力
- 不能增加图像信息的是A、增加mA B、延
- 关于原子核,叙述错误的是A、原子由原子核
- 下列说法正确的是A、电压越高,产生的X线
- 下列哪些疾病可引起视神经孔增大 (
- 下列哪项不适应DSA检查 ( )
- X线管灯丝加热电流的大小一般是A、mA级
- 关于CR成像优、缺点的叙述,错误的是A、
- 显影温度高于预定温度时,乳剂受到的影响是
- 下列说法哪项不正确 ( )A、介
- 有关人体的标准姿势正确的叙述是 (
- 发现和诊断子宫肌瘤最敏感的影像学检查方法