试题详情
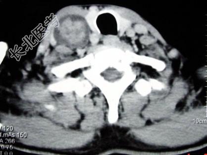
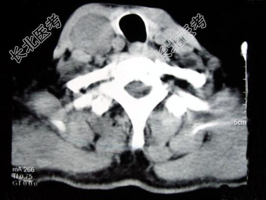
- 多项选择题男,70岁, 右侧颈部无痛性肿块3个月,CT扫描如图所示, 正确的描述或诊断是 ( )

A、右侧颈动脉间隙内见类圆形软组织肿块影,密度欠均匀,边缘光整
B、右侧颈静脉被推压至肿块外后方
C、右侧颈动脉被推压至肿块内后方
D、迷走神经源性肿瘤
E、交感神经源性肿瘤
关注下方微信公众号,搜题查看答案

热门试题
- 溃疡型胃癌的X线表现不正确的是A、龛影位
- CT扫描检查前,去除被检部位金属物品的目
- 胰腺癌的临床表现包括A、胰腺局部实质肿块
- 眼球CT平扫中密度最高的是A、玻璃体B、
- 体层摄影过程中,位置固定不变的是A、胶片
- 以下选项中,当颅底位投照时,X线中心线应
- 常规CT扫描层厚的确定是通过改变X线束的
- 不适宜做眼眶 CT扫描的是 (
- 对于梯度回波的描述,下列正确的是 (
- 关于钼靶X线机的结构的叙述,错误的是
- 按骨折的好发部位可将上颌骨骨折分为三型,
- 与普通X线胶片和湿式激光胶片相比,干式激
- 鼻咽癌中最常见的类型是 ( )A
- 应与视网膜母细胞瘤鉴别的疾病有 (
- 男,36岁, 腹胀、消化不良、消瘦、中上
- 关于专用X线机的叙述,不正确的是A、胃肠
- 下面哪项不是合理的腹部CT血管造影技术A
- 胸部摄影,中心线经A、第6胸椎入射B、第
- 男,30岁, B超查体发现肝右叶4cm大
- 下列部件中,哪项不是普通X线成像设备的组