试题详情
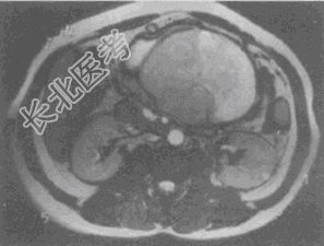
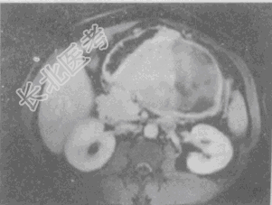
- 单项选择题男,36岁, 腹胀、消化不良、消瘦、中上腹痛,影像检查如下图, 最可能的诊断是

A、胃间质肉瘤并肝转移
B、胃间质瘤并原发性肝癌
C、内胚窦瘤肝转移
D、胃淋巴瘤伴原发性肝癌
E、胃间质瘤并肝血管瘤
关注下方微信公众号,搜题查看答案

热门试题
- CT扫描时X线管发出的是A、B射线B、散
- 患儿男性,19个月。至今不能站立、不会说
- 鼻窦不包括下列哪项A、上颌窦B、额窦C、
- 属于细胞周期非特异性药物的有 (
- 胸部后前位摄片胶片下缘应包括 (
- 乳腺癌最常发生的部位为 ( )A
- 患儿,女, 2岁。家长发现患儿右侧瞳孔变
- 有关小盆腔内脏器扫描基线的描述,最正确的
- 1、应首先考虑的诊断是2、根据以上情况,
- 关于高压变压器的叙述,正确的是A、初级电
- 有关感光效应的解释,正确的是A、是X线对
- 在MRI中,成像速度最快的方法是 (
- 胸部摄影,中心线经A、第6胸椎入射B、第
- 关于X线对比度叙述错误的是A、是透过物质
- 注射流率选择20~22ml/s的造影检查
- 影响X线照片密度的因素错误的是A、照射量
- 以下对CT值的描述,哪一项不正确 (
- 脊柱CT的特殊扫描方法是A、椎体扫描B、
- 肘关节侧位片标准显示的叙述,错误的是A、
- 心包上隐窝与横窦的分界为A、右肺动脉上缘