试题详情
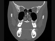
- 多项选择题女,25岁, 车祸伤及面部,X线及CT检查如图所示, 正确的描述或诊断是 ( )

A、X线示左侧眶底较正常变低
B、CT发现左侧眶底骨质断裂
C、左侧上颌窦内见气-液面
D、左侧眶底骨折
E、左侧上颌窦积液
关注下方微信公众号,搜题查看答案

热门试题
- 下列关于视神经的描述,正确的是A、是真正
- 成人颅内压增高时,蝶鞍的骨质吸收最早发生
- 患者,女, 58岁。左腰部不适,血尿2个
- 关于几何学模糊,叙述错误的是A、焦点尺寸
- 关于出血的MR表现,叙述错误的是A、在T
- 患者,女, 26岁,端坐呼吸、乏力、腹胀
- 下面不是脂肪抑制成像技术的是A、化学位移
- 质量管理活动开展的程序,不包括 (
- 颈椎前后位标准影像显示,以下错误的是A、
- 关于腺样体增生的CT表现,不正确的是A、
- 摄影时,中心线需从人体右后方射向左前方的
- CR图像处理不包括A、灰阶处理B、窗位处
- 观察外耳道闭锁的最佳摄片体位是 (
- 数字量转换为模拟量称作 ( )A
- 眼内木屑属于A、高密度异物B、金属性异物
- 下列哪一项不属于流空现象的范畴 (
- X线强度的空间分布的叙述,错误的是A、与
- 如疑似大骨节病的病人,最佳投照体位是
- 不属于固定阳极X线管的组成的是A、轴承B
- 常见的鞍区肿瘤包括A、垂体瘤B、颅咽管瘤