试题详情
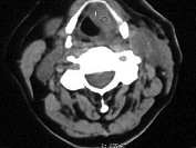
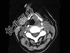
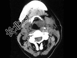
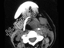
- 单项选择题女,54岁, 喉部异物感约3个月,PE: 左侧声带固定,可见肿物, CT如图,最可能的诊断是 ( )

A、喉部乳头状瘤
B、喉癌
C、喉部血管瘤
D、慢性增生性喉炎
E、增生型喉结核
关注下方微信公众号,搜题查看答案

热门试题
- 腹膜后恶性肿瘤的首选影像学检查方法为A、
- 关于肝脏淋巴瘤的影像学表现,错误的是A、
- 对于早期中耳乳突胆脂瘤的诊断,最佳方法为
- 下列椎间盘突出征象中,错误的是 (
- 胸部DSA检查不能将导管放置的血管是A、
- 视频多幅照相机的缺点包括A、容易老化B、
- 机洗照片出现黄色污染,有水迹的原因是A、
- 患者,女性, 36岁,因不孕就诊。盆腔M
- 目前公众个人全身受照射的年剂量应低于A、
- 下列元素中哪个不能进行MR成像 (
- 诊断室壁瘤最主要的X线征象是A、左室缘局
- 能显示视神经管轴位像的位置是 (
- 下述哪项结构在增强扫描时最迟强化 (
- DSA采集时机及帧率选择原则,正确的是A
- 1、该检查摄影体位是2、为使乳腺后内侧显
- 牙齿参差不齐,无发热, 无疼痛,PE:
- 与钨构成合金并组成常规X线管靶面材料的是
- 关于卵巢畸胎瘤的描述,哪项不对A、发病主
- 常用于慢流静脉及静脉窦成像的技术是A、3
- 男性,55岁, 骶尾部疼痛1年,近2个月