试题详情
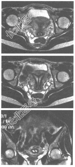
- 单项选择题患者,女性, 36岁,因不孕就诊。盆腔MRI图像如下, 最可能的诊断为

A、双角子宫
B、双子宫
C、完全性纵隔子宫
D、不完全性纵隔子宫
E、弓形子宫
关注下方微信公众号,搜题查看答案

热门试题
- 对常规颅脑CT平扫技术的描述,错误的是
- 下列哪个不是减小电源电阻的方法A、使用容
- 以下哪一项膀胱结石影像学表现是错误的A、
- 有关摄片距离的叙述,正确的是 (
- 胆脂瘤最多见于下列哪种类型乳突A、气化型
- 最早应用于CT检查的部位是A、胸部B、四
- 关于CT噪声的叙述,正确的是A、噪声的大
- 干式激光胶片的保存环境温度应保持在A、0
- 关于化学位移成像,叙述正确的是A、化学位
- 介入放射学依据其诊治途径一般分为A、肿瘤
- IVDSA的缺点不包括A、造影剂到达兴趣
- 下面哪一项不是咽喉部CT扫描技术A、病人
- 男,65岁咳嗽、痰中带血丝3个月。近来出
- 患者,男,30岁,搏动性耳鸣,体检发现鼓
- 旋转阳极X线管功率比固定阳极X线管A、大
- X线检查腰椎前后位时,中心线应对准
- 两侧肺门增大多见于 ( )A、
- 能显示视神经管轴位像的位置是 (
- 鼻窦黏液囊肿的发病机制为A、窦壁黏膜下变
- 患者女性,45岁, 近日出现咳嗽气急。既