试题详情
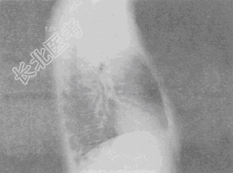
- 单项选择题患者女,63岁, 痰中带血2天,不咳嗽、发热, X线检查如图,最可能的诊断是

A、右上肺结核
B、右上肺炎症
C、右上肺不张
D、右上肺癌
E、右上肺错构瘤
关注下方微信公众号,搜题查看答案

热门试题
- 常规标准体位选择正位及内斜位的摄影部位是
- DSA采集时机及帧率选择原则,正确的是A
- 能谱成像物质分离时,碘基图常见用途是A、
- 欲快速显示冠状面全脑血管概貌,宜选用
- 手洗显影液pH一般要求在A、2~3B、4
- TAI的全称是 ( )A、经皮经
- 眼部的感觉神经是A、泪腺神经和额神经B、
- CT检查的成像技术条件包括的项目有
- CT显示颈前三角区囊性占位,可见钙化,囊
- 腹膜后恶性肿瘤的首选影像学检查方法为A、
- 最常用的“短效栓塞剂是” ( )
- 灰质异位最佳的检查方法是A、X线平片B、
- 关于心脏大血管MRI血流定量分析,叙述错
- 胸部连续扫描,个别层面CT图像出现重复,
- 融合断层的优势是A、可以实现站立位及卧位
- 患者女,34岁, 咳嗽,咯血半个月余,
- 对探测器性能的叙述,错误的是 (
- 关于气胸下列哪项是错误的A、CT检查的目
- 支气管扩张的X线表现描述不正确的是A、囊
- 关于固定阳极X线管,叙述错误的是A、阳极