试题详情
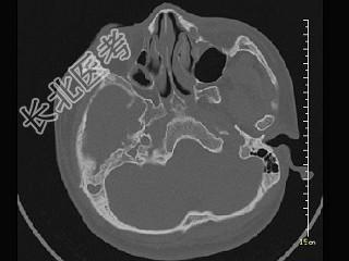
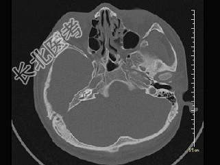
- 单项选择题女,12岁, 自幼右侧听力丧失,CT检查如图, 下列说法错误的是 ( )




A、右侧外耳道闭锁
B、右侧外耳道不发育
C、右侧慢性化脓性中耳炎
D、右侧乳突为板障型
E、应诊断为先天性外耳道畸形
关注下方微信公众号,搜题查看答案

热门试题
- 不会产生MRI投射效应的是A、硬币B、轮
- 女,34岁, 自幼左侧乳头内陷,未哺乳。
- 纵向磁化矢量的弛豫是指 ( )A
- 下面对颅脑MRI检查技术的叙述错误的是A
- CT显示宫颈癌向外侵犯的确切依据是A、宫
- MRI设备要求设置设备专用PE线(保护接
- 下列叙述正确的是A、低能量射线采用铜滤过
- 需稀释造影剂进行造影检查的是 (
- 少支胶质细胞瘤的典型CT表现为A、病灶不
- 属于血管穿刺鞘内容的是A、穿刺针B、扩张
- 诊断室壁瘤最主要的X线征象是A、左室缘局
- 患者女,51岁, 心脏手术后,突感胸痛,
- 关于上斜肌的描述,不正确的是A、源于视神
- 关于可改善CT空间分辨力的措施,叙述错误
- 以下选项中,MRA检查受限制的因素是
- 下列组合中,哪项不对 ( )A、
- 关于肝脏淋巴瘤,说法错误的是A、合并免疫
- 造影前不需做肠道清洁准备的检查是A、静脉
- 肘关节侧位摄影,叙述错误的是A、五指紧贴
- 有关髋关节前后位摄片的叙述,正确的是