试题详情
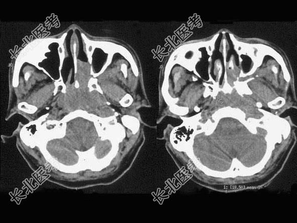
- 单项选择题男,64岁, 间断性流鼻血1年余,近1个月加重, CT如图所示,最可能的诊断是 ( )

A、鼻咽部腺样体增生
B、鼻咽纤维血管瘤
C、鼻咽部恶性淋巴瘤
D、鼻咽部淋巴组织增生
E、鼻咽癌
关注下方微信公众号,搜题查看答案

热门试题
- 腹部CT检查前口服阳性对比剂的目的是A、
- 上部胸椎侧位摄片,下述方法哪项错误
- 下述部位CT扫描检查需口服对比剂的是
- 胆脂瘤的并发症有 ( )A、硬
- 男,50岁, 涕中带血半年,体检发现右侧
- 女,54岁, 喉部异物感约3个月,PE:
- 下述除哪项外均为影响骨骼钙代谢的主要因素
- 对于CR描述,错误的是 ( )A
- CR的缺点有A、常规X线摄影信息数字化B
- 鼻与鼻窦CT扫描技术正确的是A、横断位扫
- 与胶片将X线强度差异转换为光学密度的因素
- CT成像,能将光信号转换为电信号的是A、
- 提高TOF-MRA流动-静止对比的方法不
- 有关静脉滴注肾盂造影的禁忌证,错误的是
- 正常眼晶体CT值为A、30~45HUB、
- 人体大体解剖学中,确定内侧或外侧的标志是
- 慢性化脓性骨髓炎的基本X线表现是 (
- 建立X线防护外照射的基本方法是A、屏蔽防
- 脑血管进行旋转DSA后可实现的功能有A、
- 以下选项中,MRA检查受限制的因素是