试题详情
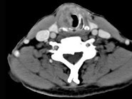
- 单项选择题男,62岁, 声音嘶哑1年余,CT图片如下, 最可能的诊断是 ( )

A、甲状腺癌
B、声门下喉癌伴右颈部淋巴结转移
C、喉结核伴右颈部淋巴结肿大
D、喉转移瘤
E、喉息肉
关注下方微信公众号,搜题查看答案

热门试题
- 当窗宽为250,窗位为50时,其CT值显
- MR成像中,哪些与图像的对比度有关
- 视神经鞘膜常发生的病变为 ( )
- 下列与肺心病不符的X线征象是A、肺气肿B
- CT基本设备不包括A、扫描架、扫描床和X
- 下列关于上肢摄影的注意事项中,错误的是
- 下列有关颈椎椎体的描述,错误的是 (
- 空洞洞壁的成分可以是 ( )A
- CT平扫无法显示的是A、软组织B、骨骼C
- 应与继发性胆脂瘤鉴别的疾病有 (
- 男,60岁, 咽喉部肿痛半年,CT检查如
- 调节X线管的灯丝电流的目的是A、控制产生
- 女,35岁, 下腹部胀痛,CT扫描如图所
- 诊断HCC最具诊断意义的DSA征象是A、
- 下列哪种方法可以减少影像的部分容积效应A
- 与X线管结构参数无关的是A、阳极靶面倾角
- 腕关节侧位,以下错误的是A、被检侧腕部桡
- 有关解剖学方位的描述,下列错误的是
- 与平片相比,下列哪项不是CT优势 (
- 关于固定阳极X线管阳极的结构组成下列正确