试题详情
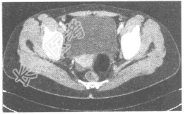
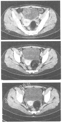
- 单项选择题女,35岁, 下腹部胀痛,CT扫描如图所示, 盆腔内囊实性肿块影,其内CT值不均, CT值-120~360HU不等,最可能的诊断是

A、子宫肌瘤
B、卵巢癌
C、卵巢畸胎瘤
D、卵巢囊肿
E、以上都不是
关注下方微信公众号,搜题查看答案

热门试题
- 关于鼻乳头状瘤的CT征象,正确的有A、鼻
- 表示踝关节侧位体位标准的标志是A、胫腓骨
- 单独增强CT扫描只用于A、畸形颅脑外伤B
- 下列那些疾病可能发生乳头内陷 (
- X线照片密度影响因素的叙述,错误的是
- 患儿,女, 2岁。家长发现患儿右侧瞳孔变
- 对影像增强器电子透镜的解释错误的是:A、
- X线强度(I)与管电压的关系是A、I与管
- 扩散加权成像技术的叙述错误的是A、扩散成
- 下列关于造影剂的分类组合,错误的是
- MRI颞下窝前方结构为 ( )
- MR胰胆管造影(MRCP)的描述错误的是
- 下列哪些是脾梗死的CT表现A、尖端朝向脾
- 颅底骨折X线摄片常规取 ( )A
- 以下哪项是新鲜出血的CT值范围 (
- “胃双重对比造影”的首选钡剂是下列哪项
- 关于脊柱的CT解剖,叙述错误的是A、于椎
- 脑梗死CT水肿高峰发生于发病后A、12小
- 胰腺的供养动脉来源不可能是A、胰十二指肠
- 关于大叶性肺炎,不正确的是A、累及一个或