试题详情
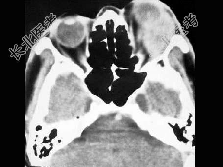
- 单项选择题男,45岁, 左眼疼痛伴视力下降一个多月,左眼明显外突, CT扫描如图所示,最可能的诊断是 ( )

A、左侧眶内炎性假瘤
B、左眶内血管瘤
C、左眶内纤维瘤
D、左眶内结核
E、左眶内转移瘤
关注下方微信公众号,搜题查看答案

热门试题
- 胸内甲状腺肿的MRI表现是A、胸骨后气管
- 引起纵隔增宽的病变中,哪类最常见 (
- 以下关于眼眶内侧壁组成结构的描述,错误的
- 疑消化道穿孔,观察膈下游离气体应摄
- 对照片层次、对比度关系的叙述,错误的是A
- 当CTAP检查时,导管应在以下哪项中
- 关于胃黏膜脱垂,下列描述错误的是A、胃窦
- DSA检查术前准备不包括A、碘过敏和麻醉
- 部分容积效应中的部分容积的含义是 (
- 影响锐利度的因素的叙述,正确的是 (
- 诊断早期听神经瘤的最佳检查方法为A、X线
- 胰腺钩突前面,CT显示两个血管断面,应是
- 下列有关MR对比剂的叙述哪项正确A、利用
- 下列属生理排泄法造影检查是 (
- 男,53岁, 左眼痛、突出3年,结合图像
- 女,50岁, 左下颈部扪及一质软、表面光
- X线球管围绕人体腹背轴(前后轴)旋转的扫
- DSA检查的禁忌证不包括A、严重的心、肝
- X线信息影像传递过程中,作为信息源的是A
- 关于"造釉细胞瘤"的诊断要点,错误的是