试题详情
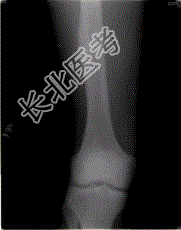
- [材料题] 患者,男性,18岁。右股外侧间歇性疼痛逐渐加重近3个月,夜间为重,X线片及CT示右股骨干下段外侧骨皮质梭形增厚硬化,增厚的骨皮质中心隐约可见小圆形低密度灶,骨髓腔未闭合,无外伤史。


- 单项选择题1.最可能的诊断是( )。
A、成骨细胞瘤
B、骨软骨瘤
C、骨样骨瘤
D、骨肉瘤
E、非骨化性纤维瘤
关注下方微信公众号,搜题查看答案

- 单项选择题2.为进一步确诊首选的影像学检查方法是( )。
A、增强CT
B、薄层高分辨CT
C、MRA
D、DSA
E、ECT
关注下方微信公众号,搜题查看答案

- 单项选择题3.与此病变相鉴别的疾病主要是( )。
A、骨肉瘤
B、骨结核
C、骨岛
D、疲劳骨折
E、骨巨细胞瘤
关注下方微信公众号,搜题查看答案

热门试题
- “Maffucci综合征”基本病理改变为
- “Albright综合征”临床特征为
- 成软骨细胞瘤应与下述哪些疾病变相鉴别
- 下列哪一组肿瘤均易发生骨转移A、甲状腺癌
- 动脉瘤样骨囊肿多见于哪个年龄段 (
- 最容易损伤脊髓的外伤是 ( )A
- 正常膝关节透明软骨的厚度约为 (
- 关于膝关节正位、侧位的标准片所见,哪项是
- 好发于40岁以上的“恶性骨肿瘤”是
- 1、该患者最可能的诊断为 ( )
- 1、结合病史及影像资料,考虑为A、锁骨骨
- 诊断早期骨软骨缺血坏死最为敏感的检查方法
- 软组织血管瘤的CT表现,正确的有A、软组
- 有关环枢关节的描述,错误的是 (
- 桡骨小头半脱位是由于 ( )A、
- 良性肿瘤的X线表现中,下列描述不适当的是
- 下述疾病中可见关节内游离体的是 (
- 下列有关“骨气鼓”特点,哪项错误 (
- 女,30岁, 右膝关节酸胀,疼痛不适5个
- 男,56岁, 肺癌术后2年余,左髋部疼痛