试题详情
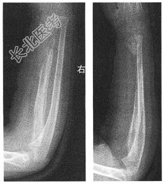
[材料题] 患者,男性,8岁。右前臂肿痛20天,发病时皮温较高,体温达39℃。实验室检查:WBC12.05×109/L,中性粒细胞79%。右尺桡骨正侧位DR片如图。
单项选择题1.最可能的诊断是( )。

A、骨结核

B、溶骨型骨肉瘤

C、软骨肉瘤

D、骨纤维异常增殖症

E、急性化脓性骨髓炎

  • 关注下方微信公众号,搜题查看答案

单项选择题2.本例主要需与何种疾病加以鉴别( )。

A、骨结核

B、骨肉瘤

C、尤因肉瘤

D、软骨肉瘤

E、骨母细胞瘤

  • 关注下方微信公众号,搜题查看答案

单项选择题3.诊断困难时,常可采用什么方法进行鉴别( )。

A、骨穿刺活检

B、试验性放射治疗

C、ECT

D、MRI

E、超声成像

  • 关注下方微信公众号,搜题查看答案

热门试题