试题详情
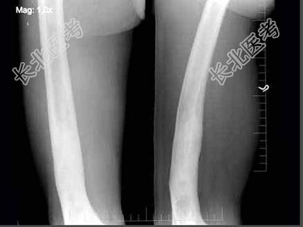
- 单项选择题男,58岁, 右大腿酸痛,弯曲变形, 有外伤史,右股骨摄片如图所示, 最可能的诊断是 ( )

A、硬化性骨纤维结构不良
B、慢性化脓性骨髓炎
C、骨质软化症
D、慢性硬化性骨髓炎
E、以上均不正确
关注下方微信公众号,搜题查看答案

热门试题
- “麻风病”骨改变特点为是 ( )
- 骨盆骨折常可合并邻近器官的外伤,常易损伤
- 克氏(Klinefelter)综合征的X
- 以下属于骨折断端对位不良的有A、横向移位
- 男,21岁, 左上肢有外伤史,现感局部疼
- 右胫骨下段骨折摄片时至少应包括 (
- 下列有关色素沉着绒毛结节性滑膜炎的描述中
- 前臂孟氏骨折是 ( )A、尺骨中
- 患者,男, 33岁,左股骨肿块半年余,
- 广泛性骨质疏松不常见于哪些情况 (
- 骨膜增生的CT表现,正确的是A、CT能显
- 肱骨可有如下变异,应除外哪项 (
- 诊断早期骨软骨缺血坏死最为敏感的检查方法
- 脊椎退行性变的MRI表现中,错误的是A、
- 8岁,男孩, 外伤后感左肘关节肿痛,左肘
- 女,14岁, 渐进性鼻塞2年余,右眼肿痛
- Albright综合征临床表现不包括
- 下列恶性骨肿瘤中呈多发性表现的是 (
- 患者背痛,如图所示, 最可能的诊断是
- 以下有关痛风临床表现的叙述,错误的是(