试题详情
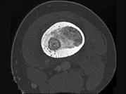
- 单项选择题男,30岁, 左大腿疼痛1年余,夜间或休息加重, 口服止痛药可缓解,结合图像, 最可能的诊断是 ( )

A、骨瘤
B、骨样骨瘤
C、骨软骨瘤
D、骨结核
E、骨脓肿
关注下方微信公众号,搜题查看答案

热门试题
- 股骨头缺血坏死的CT表现为 (
- 男,22岁, 发现左股骨远端侧方肿块十余
- 来源于骨髓及造血组织的骨肿瘤是 (
- 成骨细胞瘤的MRI表现,错误的是A、肿瘤
- 有关椎间盘变性描述,正确的是 (
- 软组织血管瘤的CT表现,正确的有A、软组
- 男,67岁, 右侧股骨痛,结合图像, 最
- 胸片上常不能看到的骨结构有A、锁骨B、肋
- 男,5岁, 外伤后致左肩关节疼痛伴关节活
- 下列哪项不是亲骨性转移的肿瘤 (
- 1、初步考虑哪些疾病2、进一步诊断可选用
- 尤因肉瘤影像学特点包括( )A、虫蚀
- 色素沉着绒毛细胞结节样滑膜炎的特征性MR
- 关于骨肉瘤的叙述,正确的是( )。A
- 骨转移瘤的转移途径中,下列哪一项最多见
- 男,33岁。右髋痛半年,如图,最可能的诊
- 胸骨角两侧通常与第几肋骨相连A、1B、2
- 蒙泰贾(Monteggia)骨折是指
- Morquio综合征在长管骨的X线表现中
- 巨人症与肢端肥大症初期内分泌症状包括