试题详情
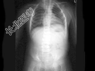
- 单项选择题女,3岁, 身高不增,智力正常, 结合图像,最可能的诊断是 ( )

A、维生素D缺乏症
B、肾性骨病
C、黏多糖贮积症Ⅳ型
D、黏多糖贮积症Ⅰ型
E、MPSⅡ型
关注下方微信公众号,搜题查看答案

热门试题
- 女,29岁, 有午后发热,夜间盗汗, 消
- Perkin方格正确的表述为A、用于股骨
- 男,5岁, 左膝肿块,轻度压痛, 结合图
- 指出骨麻风病特异性的X线表现 (
- 广泛性骨质疏松不常见于哪些情况 (
- 关于化脓性关节炎,说法错误的是A、好发于
- 1、结合病史及影像资料,考虑为A、锁骨骨
- 对椎间盘变性的错误描述是( )A、可
- 急性化脓性骨髓炎的病理变化特点是 (
- 男,38岁, 颈部疼痛伴低热1个月余,曾
- 人体骨数最多的时期为A、新生儿期B、婴幼
- 骨软骨瘤影像表现错误的是A、X线上可以观
- 关于髋臼角,正确的表述为A、经过两侧"Y
- 韩-薛-柯病的最好发于 ( )A
- 关于神经鞘瘤和神经纤维瘤的描述哪项错误
- 关于骨肿瘤的影像学表现,错误的是(
- 单位体积内骨量增多属于 ( )A
- 关于“Colles骨折”,下列哪项不对
- 骨肿瘤样病变包括A、骨纤维异常增殖症B、
- 肱骨可有如下变异,应除外哪项 (