试题详情
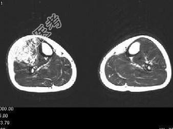
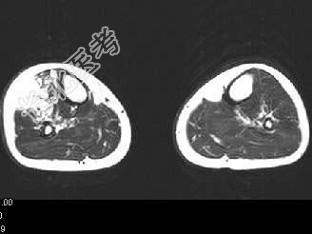
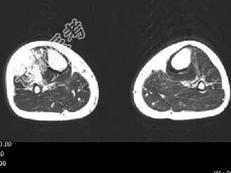
- 单项选择题男,15岁, 小时候发现左下肢肿胀,曾多次出血, 结合图像,最可能的诊断是 ( )

A、脂肪瘤
B、脂肪肉瘤
C、下肢血管瘤
D、软骨瘤
E、软骨肉瘤
关注下方微信公众号,搜题查看答案

热门试题
- 女,2岁, 发现蓝色巩膜、听力障碍,四肢
- 男,31岁, 感左坐骨区胀痛,无发热,
- 腰椎间盘疝可以形成椎间盘游离体,下列关于
- 男,65岁, 腰背痛3个月,尿本—周蛋白
- 女,53岁, 腰部酸痛4年,近期加重,
- 男,45岁, 下肢剧痛,活动受限, 结合
- 开放性神经管闭合不全伴随的畸形包括A、C
- 全身骨显像检查前的注意事项,错误的是A、
- 骨转移瘤较常见的影像学征象为A、多发棉絮
- 动脉瘤样骨囊肿的特征性MRI表现为
- 提示恶性骨巨细胞瘤的临床、影像征象包括A
- 在痛风表现中,不正确的是A、30岁以上发
- 患者,女, 16岁。7天前突发左髋剧痛,
- 有关齿状突骨,不正确的是A、4岁之前与枢
- 维生素D缺乏症的X线表现有 (
- 下述骨、关节的基本病变,错误的是 (
- 骨肉瘤的主要转移途径是A、血行转移B、淋
- 男,23岁, 左大腿远端疼痛,夜间明显,
- 男,30岁, 主诉右大腿肿块年余,逐渐增
- 肋软骨钙化最后是第几肋骨A、1B、2C、