试题详情
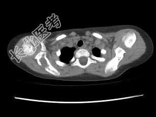
单项选择题女,2岁半, 无痛性右肩部肿块,结合图像, 最可能的诊断是 ( )

A、朗格汉斯细胞增多症

B、尤文肉瘤

C、骨髓瘤

D、霍奇金病

E、淋巴瘤

  • 关注下方微信公众号,搜题查看答案

热门试题