试题详情
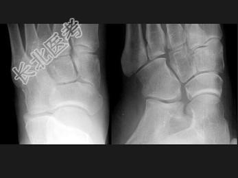
- 单项选择题女,25岁, 扭伤后足中部痛,结合图像, 最可能的诊断是 ( )

A、內侧楔状骨骨折
B、外侧楔状骨骨折
C、足舟骨骨折
D、中间楔状骨骨折
E、未见异常
关注下方微信公众号,搜题查看答案

热门试题
- 成人股骨头缺血坏死股骨头塌陷的X线征象是
- 下列哪项不符合股骨头缺血性坏死的表现
- 如图所示,可能性最小的诊断是 (
- 下列“多发性软骨瘤”诊断要点中,哪项错误
- 发出根髓动脉的血管有A、椎动脉B、颈深动
- 急性化脓性骨髓炎的病理变化特点是 (
- 有关骨巨细胞瘤,下列不正确的是A、MRI
- ①骨肉瘤、②软骨肉瘤、③纤维肉瘤、④脊索
- MRI诊断骨创伤,难以显示的是A、皮质骨
- 下列叙述正确的是 ( )A、正
- 椎间盘突出MRI间接征象为A、硬膜囊、脊
- 骨质破坏可见于A、骨肿瘤B、骨肿瘤样病变
- 男,33岁, 右肩部疼痛,巨大肿块, 活
- 患者40岁,男性, 如图所示,最可能的诊
- CT观察椎间盘一般使用A、增强窗B、骨窗
- 长骨结核的影像表现不包括( )。A、
- 患者,女, 38岁。双手照片发现中指节指
- 常见于骨干的病变,除外( )。A、骨
- 1、患者影像学表现有( )A、C
- 硬膜外脓肿的MRI诊断依据是A、T