试题详情
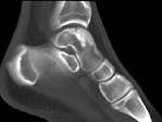
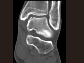
- 单项选择题男,17岁, 踝关节疼痛,关节作响, 结合图像,最可能的诊断是 ( )

A、骨结核
B、剥脱性骨软骨炎
C、退行性骨关节病
D、骨髓炎
E、纤维性骨皮质缺损
关注下方微信公众号,搜题查看答案

热门试题
- 女,6岁, 外伤后左肘部肿痛,活动受限,
- 有关腰椎术后不良综合症,错误的是A、间盘
- 下列骨肿瘤中,哪种肿瘤的CT表现不显示肿
- 男,77岁, 全身性骨痛,夜间加重, 贫
- 儿童化脓性骨髓炎不易进入关节腔的原因是
- 致密性骨发育不全与石骨症的X线鉴别中哪项
- 男,17岁,右腿酸痛、肿胀2个月余。右膝
- “恶性骨肿瘤”发病顺序依次为 (
- 最常见的腰椎黄韧带增厚、钙化的原因是
- 1、为了进一步诊断,你认为需要做哪些检查
- 男,38岁, 因左髋关节疼痛跛行1年半,
- 1、应诊断何种疾病2、在手术前需确定恶性
- 女性,66岁。全身性骨骼疼痛2个月余,
- 下列描述不正确的是A、关节骨性强直,X线
- 良性骨肿瘤在X线片上可表现出A、日光射线
- 男,50岁,腰骶部疼痛3个月,近期加重,
- 滑膜骨软骨瘤病的临床表现包括 (
- 下列不是成人长骨结构的是A、骨端B、骨骺
- 男,38岁, 慢性颈痛和背痛1年余,结合
- 骨折的常见类型包括 ( )A、