试题详情
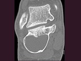
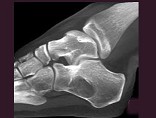
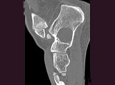
- 单项选择题男,32岁, 几天前踝部扭伤,疼痛, 不能行走,结合CT图像, 最可能的诊断是 ( )

A、骨囊肿
B、动脉瘤样骨囊肿
C、骨纤维异常增殖症
D、骨巨细胞瘤
E、畸形性骨炎
关注下方微信公众号,搜题查看答案

热门试题
- 不属于脊柱退行性改变的征象是A、椎间隙狭
- 根据作用力的方式和骨折本身的情况 ,将骨
- 特发性骨质溶解症主要发生在下述哪些部位
- 下列骨折发生后,容易发生缺血性骨坏死的是
- 环枕融合常伴有 ( )A、环枕关
- 下列哪种骨转移的临床症状相对较轻 (
- 髓内肿瘤中以哪种组织学类型最常见 (
- 脊椎骨折可出现以下哪些表现( )A、
- 下述“畸形性骨炎”诊断要点,哪项错误
- 男,6岁, 来自干旱地区,腰背疼痛四肢关
- 患者,男,15岁。洗澡时无意中触及右大腿
- 男,29岁, 左膝关节有外伤史,膝关节疼
- 患者女,23岁。两下肢感觉麻木, 结合图
- 侧位片上寰椎前弓后缘与齿状突前缘的关节间
- 连接邻位椎板的韧带是A、黄韧带B、前纵韧
- 铅线易发生部位有 ( )A、尺
- 马方(Marfan)综合征病变主要侵犯
- 男,49岁, 右髋部疼痛1年半,近1个月
- Ⅲ度半月板撕裂的信号,MR表现为 (
- 急性骨髓炎X线早期软组织改变包括A、肌间