试题详情
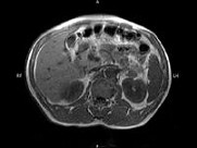
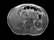
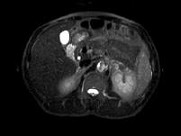
- 单项选择题男,52岁, 下肢无力伴多饮多尿2年余,实验室检查: 低血钾,血醛固酮水平及24h尿醛固酮定量超过正常值, MRI检查如图所示,应诊断为 ( )

A、左肾上腺囊肿
B、左肾上腺腺瘤
C、左肾上腺嗜铬细胞瘤
D、左肾上腺髓脂瘤
E、左肾上腺转移癌
关注下方微信公众号,搜题查看答案

热门试题
- 下列哪种组织器官不位于肾周间隙 (
- 下列关于肾脏X线解剖描述错误的是 (
- 关于肾梗死的CT表现,错误的是A、包膜下
- 关于"急性膀胱炎"的诊断要点,错误的是A
- 下列肾肿瘤起源于肾小管的是( )。A
- 伴有骨盆发育畸形的常见的泌尿系发育异常为
- 关于肾筋膜和肾周间隙的描述,错误的为A、
- 男,36岁, 反复右侧腰部疼痛2年余,C
- 男,65岁, 左腰部隐痛不适2月,CT平
- 肾上腺内分泌肿瘤分类分型诊断主要依靠
- 透明细胞癌最具有特征性表现的是A、平扫C
- 关于子宫体癌的描述,下列哪项不正确
- 用于介入治疗尿路梗阻的目的有A、解除尿路
- 关于子宫肌瘤的CT表现,下列哪项说法是错
- 女,28岁, 阴道有异常液体流下,CT和
- 患儿,2岁, 因腹部包块就诊,超声发现右
- MRI矢状面显示子宫前壁向外局限性隆起的
- 肾脏的囊性病变中,以下哪项有恶变倾向A、
- 患者19岁,肾性高血压, 根据图像,对其
- 患者,女。尿频尿急1年, 尿白细胞(3+