试题详情
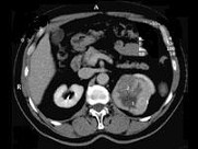
- 多项选择题男,65岁, 左侧腰背部胀痛伴无痛性全程血尿3月余,CT平扫及增强检查如图所示, 下列说法正确的是 ( )

A、平扫时见左肾上极有一软组织肿块影,其边界较清楚
B、增强扫描肾皮质期可见肿块明显强化,其内亦有无强化区
C、增强扫描肾实质期可见肿块强化迅速下降,但密度比平扫时仍要高
D、考虑为左侧肾癌
E、考虑为左侧肾错构瘤
关注下方微信公众号,搜题查看答案

热门试题
- 可触摸的腹部团块是 ( )A、淋
- 下列关于“马蹄肾”的病理特点,错误的是
- 女,42岁, 盆腔占位,根据所提供的CT
- 左右侧肾脏大小差别不应超过A、1~2cm
- 肿瘤的实质由透明细胞组成的是( )。
- 关于“肾血管平滑肌脂肪瘤”描述,错误的是
- 膀胱内发现新生物,CT增强扫描可强化,则
- 腹部平片(KUB)的适应证包括( )
- 关于子宫肌瘤CT表现,不正确的是A、子宫
- "小膀胱征"多见于A、膀胱息肉B、膀胱结
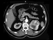
- 男,48岁, 蛋白尿多年,CT如图所示,
- 下列子宫内膜异位知识,哪项不对A、症状轻
- 膀胱病变最基本的检查方法是 (
- 女,36岁。尿频、尿急伴发热月余。尿常规
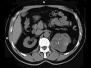
- 男,67岁,近期频发血尿10余天,右肾轮
- 无法发现透光性结石的检查方法为( )
- 某男,尿频尿急2年,尿常规白细胞、红细胞
- 无论肾结石是否透光,诊断价值最大的检查方
- 1、诊断深部急性乳腺炎,最重要的依据是
- 1、为明确诊断,最简便的影像学诊断方法是