试题详情
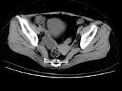
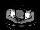
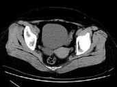
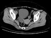
- 单项选择题女,27岁, 体检时B超发现右侧附件区囊性占位性病变,CT检查如图, 下列说法错误的是 ( )

A、病灶来源于右侧卵巢
B、病灶边界清晰
C、病灶为单房,壁薄,无分隔
D、考虑为卵巢浆液性囊腺瘤
E、考虑为卵巢囊肿
关注下方微信公众号,搜题查看答案

热门试题
- 精索静脉曲张介入治疗的并发症有 (
- 泌尿系统结核影像学的典型表现为 (
- 肾上腺腺瘤的CT表现,错误的有哪些A、边
- 子宫肌瘤超过多大时,恶性变的可能性明显增
- 下列哪项不会引起肾周脂肪囊混浊A、晚期肾
- 关于腺性膀胱炎,描述正确的是A、慢性感染
- 常为一侧肾影增大的疾病 ( )
- 与长期透析的继发囊肿CT表现不符的是A、
- 男,53岁, 反复右侧腰部隐痛不适2年余
- 关于肾上腺结核的CT特点,下列错误的是(
- 所有膀胱上皮性肿瘤大部分为恶性,其细胞类
- 关于肾上腺转移瘤,正确的诊断主要依赖于A
- 下列病变不是T1及T2加权像均呈高信号的
- 下列哪项疾病容易发生腹膜腔种植转移
- 马蹄肾常伴有的畸形有A、肾盂输尿管结合部
- 前列腺癌做CT检查可表现为 (
- 关于输尿管,错误的是A、输尿管全长25~
- 关于“肾血管平滑肌脂肪瘤”描述,错误的是
- 在CT横断图像上,有关正常卵巢和输卵管的
- 男,52岁, 下肢无力伴多饮多尿2年余,