试题详情
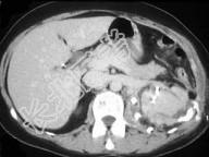
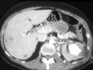
- 单项选择题如图所示,这两个时相提示 ( )

A、肾细胞癌
B、动静脉瘘
C、肾窦对比剂溢出
D、以上都有可能
E、以上都不是
关注下方微信公众号,搜题查看答案

热门试题
- 患者,男, 64岁。血尿待查,CT: 双
- 肾盂癌CT表现,错误的是A、较小的肾盂癌
- 患者,男,45岁。全程无痛性肉眼血尿反复
- 在下列卵巢肿瘤中,哪种肿瘤不产生性激素
- 1、为了明确诊断,最有意义的检查为
- 女,40岁, 下腹部隐痛、腹胀伴阴道不规
- 垂体型艾迪生病最常见的致病原因为 (
- 结合所示图像,该病例最可能的诊断是
- 妊娠滋养细胞肿瘤包括A、葡萄胎B、侵蚀性
- 关于腹膜后淋巴结,下列叙述不正确的是
- 1、最可能的诊断为 ( )2、为
- 中年男性,腰部不适, 伴有阵发性腹痛,行
- 女,65岁, 绝经后不规则阴道流血2个月
- 女,34岁, 无意中发现血压升高4个月就
- 男,57岁, 腹部隐痛不适伴低热2月余,
- 患者,男性, 34岁。尿频、尿急、尿痛1
- 输尿管下段结石应注意与下列哪项鉴别
- 先天性输尿管囊肿X线表现为 (
- 在腹腔转移癌的原发灶中,下列哪种较少见
- 关于肾盂,正确的说法是A、最佳显影时间是