试题详情
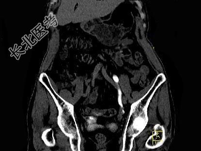
- 单项选择题男,76岁, 无痛性肉眼血尿3个月,CT检查如图所示, 下列说法错误的是 ( )

A、左侧肾盂扩张积水
B、左侧输尿管中上段扩张
C、左侧输尿管下段可见节段状不规则的软组织肿块影
D、考虑为左侧输尿管炎
E、考虑为左侧输尿管下段癌
关注下方微信公众号,搜题查看答案

热门试题
- 女,28岁, 右肾区疼痛伴高热,根据所示
- 下列关于双肾大小的比较,描述正确是
- 肾癌与肾血管平滑肌脂肪瘤的鉴别诊断,下列
- 女,50岁, 根据所提供的图像,最可能的
- 关于肾脏的X线解剖,下列哪种叙述是错误的
- 不宜做子宫输卵管造影的是A、探讨子宫出血
- 关于肾转移癌描述,错误的是 (
- 男,54岁,无痛性血尿1个月余,根据所示
- 妊娠滋养细胞肿瘤包括A、葡萄胎B、侵蚀性
- 1986年Bosniak根据CT征象提出
- 子宫体癌病理上最常见的是 ( )
- 女,28岁, 持续性腰痛加重2天,伴尿频
- 子宫内膜癌中哪种类型最常见A、腺鳞癌B、
- 下述子宫肌瘤的CT表现,错误的是A、子宫
- 1、该患者诊断可能性最大的是2、该患者如
- 女,31岁, 右侧腰部胀痛不适,MRI检
- 肾细胞癌Robson分期Ⅱ期的表现为
- 关于子宫肌瘤CT表现,不正确的是A、子宫
- 患者,女, 40岁。因为腰痛进行检查,静
- 下述子宫输卵管结核最多见的X线表现是A、