试题详情
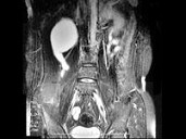
多项选择题女,31岁, 右侧腰部胀痛不适,MRI检查如图所示, 下列说法正确的是 ( )

A、右肾重度积水

B、右侧输尿管粗细不均并迂曲扩张

C、右侧输尿管下段呈囊样扩张

D、左肾输尿管未见异常

E、考虑为右侧输尿管囊肿

  • 关注下方微信公众号,搜题查看答案

热门试题