试题详情
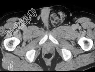
- 单项选择题男,62岁, 左腹股沟可触及肿块,结合所示图像, 正确答案是 ( )

A、斜疝
B、精索脂肪肉瘤
C、淋巴瘤
D、黑色素瘤
E、以上都不是
关注下方微信公众号,搜题查看答案

热门试题
- 下列腹膜后肿瘤最常见于儿童的是A、平滑肌
- 在泌尿系平片上显示肾脏轮廓是由于A、肾脏
- 女,31岁, 右侧腰部胀痛不适,MRI检
- 以下肾肿瘤中,哪种最常发生肺转移 (
- 在肾盂造影时,如压力过高可出现造影剂逆流
- 肾结核肾内广泛播散的病理学基础是A、血行
- 无论肾结石是否透光,诊断价值最大的检查方
- 典型输尿管结核肾盂造影表现A、输尿管变细
- 女,24岁, 发作性肉眼血尿1年,实验室
- 下列肾脏病变,哪种无“钙化”表现 (
- 有关成人型多囊肾与双侧性多发单纯性囊肿的
- 子宫肌瘤超过多大时,恶性变的可能性明显增
- 肾囊肿合并亚急性期出血的MRI表现A、T
- 发生于膀胱上皮的肿瘤是 ( )A
- 男,56岁, 无痛性全程血尿1月,CT平
- 肾动脉的肾外分支有 ( )A、
- 肾癌与肾血管平滑肌脂肪瘤的鉴别诊断,下列
- 成人双侧肾长径相差大于3cm,应考虑为
- 鉴别肾盂旁囊肿和肾盂积水的最佳方法是A、
- 发现和诊断子宫肌瘤最敏感的影像学检查方法