试题详情
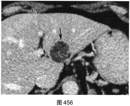
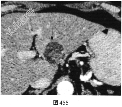
- [材料题] 患者女性,63岁,长久上腹痛并恶心、呕吐、寒战入院。超声提示肝脏有一高回声、边界清的肿块。患者进一步行肝脏CT检查,如图454~图456所示。


- 多项选择题1.对上述CT图像表述不正确的是( )
A、病灶位于肝S2/3,边界清
B、平扫病灶为低密度
C、门静脉期病灶无强化
D、动脉期病灶不均匀强化
E、动脉期病灶无强化
F、门静脉期病灶内线状轻度强化
关注下方微信公众号,搜题查看答案

- 多项选择题2.该病例最合适的诊断是( )
A、脂肪肉瘤
B、血管平滑肌脂肪瘤
C、脂肪瘤
D、肝细胞癌
E、淋巴瘤
F、肝局灶性结节增生
关注下方微信公众号,搜题查看答案

- 多项选择题3.对肝血管平滑肌脂肪瘤描述不正确的是( )
A、可与肾脏血管平滑肌脂肪瘤、多发结节性硬化并存
B、临床上患者可有上腹部不适、呕吐或疼痛等症状
C、均为良性肿瘤
D、由数量不等的平滑肌细胞、脂肪和增生血管组成
E、间叶源性肿瘤
F、多发生于成年女性
关注下方微信公众号,搜题查看答案

- 多项选择题4.该患者下一步需如何处理( )
A、无需处理
B、定期复查
C、外科手术切除
D、化疗栓塞
E、放射治疗
F、射频消融
关注下方微信公众号,搜题查看答案

热门试题
- 胰腺癌的MRI的影像表现有 (
- 脾血管瘤的影像学表现包括A、动态增强早期
- 下述胰头癌十二指肠曲的X线征象中,错误的
- 除哪项外均为微小栓塞剂A、PVAB、乙基
- 患者16岁,女性, 最可能的诊断是
- 关于门静脉瘤栓的描述,错误的是A、平扫时
- 溃疡型肠结核的X线表现有 (
- 男,70岁, 上腹痛不适伴黄疸1个月余,
- 食管静脉曲张X线征象为( )。A、蚯
- 下列哪种肿瘤在肝脏的转移可出现钙化
- 关于肝结核的影像学表现,叙述错误的是(
- 腹部CT显示腹腔积液密度稍高;腹膜均匀光
- 平坦型糜烂性胃炎与早期胃癌短期治疗后的鉴
- 右上腹痛伴黄疸,可能的诊断为A、胆囊癌B
- 食管粘膜一般有几条粘膜皱襞 (
- 下列哪项属于上皮胃的良性肿瘤 (
- 食管静脉曲张不累及下列哪条静脉A、胃冠状
- 下列彼此关联的选项中,哪些是正确的
- “不定形”征见于 ( )A、肝脏
- 关于增生型结肠癌的X线表现,错误的是