试题详情
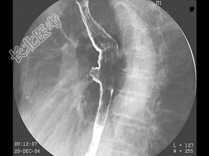
- 多项选择题女,80岁, 胃胀痛20多天,体检: 剑突下有压痛,结合图像, 最可能的诊断为 ( )

A、食管憩室
B、食管癌
C、胃炎
D、胃下垂
E、球部溃疡
关注下方微信公众号,搜题查看答案

热门试题
- 35岁,男, 结合图像,最可能的诊断是
- 胃溃疡的典型X线征象是A、黏膜中断破坏B
- 脾脏最常见的良性肿瘤是( )。A、脾
- 哪项不属于胰腺外分泌性肿瘤 (
- 患儿,3岁。钡灌肠发现直肠局限性狭窄,
- 下述胆囊切除术后综合征CT表现,错误的是
- MRI在轴位胰腺水平显示肠系膜上动、静脉
- 下述正常脾脏CT表现,哪项不对 (
- 迷走神经兴奋时可引起 ( )A
- 下述表现中,哪些与“胃溃疡”无关 (
- 腹部立位片空肠扩张可见 ( )A
- 肠结核好发于A、直肠B、回肠C、回盲部D
- 根据所提供的图像,最可能的诊断是 (
- 下列是食管静脉曲张的X线特征性表现的是A
- 女,40岁, 腹痛、腹泻、脓血便、里急后
- 关于“疣状胃炎”的描述,错误的是 (
- 男,64岁, 进食梗阻感半月。体检:咽充
- 肠结核可以发生在下述哪些部位 (
- 增殖型肠结核的X线表现主要为 (
- 在正常腹平片上,不能显影的软组织影是