试题详情
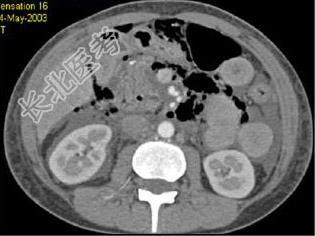
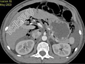
- 单项选择题根据所提供的图像,最可能的诊断是 ( )

A、穿孔后气腹
B、正常结构
C、肝炎
D、胰腺炎
E、以上都不是
关注下方微信公众号,搜题查看答案

热门试题
- 1、该患者的可能诊断有哪些( )A、
- 根据所提供的图像,该病例最可能的诊断为
- 44岁男性,T1加权像示全肝均匀分布直径
- 诊断十二指肠球溃疡较可靠的X线征象是A、
- 结肠癌的X线征象描述不正确的是A、腔内不
- 有关胆囊腺肌增生症的说法,错误的是
- CT对胃癌的诊断价值,哪项不正确 (
- 下列不是肝棘球蚴囊肿的特征表现的是A、囊
- 泌尿系平片的简称是 ( )A、I
- 根据所提供的图像,该病例的最可能的诊断
- 女,49岁, 进食上腹痛,腹部肠胀气近2
- 男,46岁, 腹部不适多年,结合图像,
- 患者中年,大便次数增多, 结合图像,最可
- 关于肝癌的描述有下列哪种特点或表现
- 关于腹膜后纤维化的MRI表现进行分析,哪
- 下列关于脾包膜下血肿的说法,不正确的是A
- 根据所提供的图像,最可能的诊断为 (
- 根据所提供的图像,该患者最可能的诊断为
- 女,54岁, 左上腹痛,CT检查如图,
- 子宫内膜癌患者,CT及PET如图所示,