试题详情
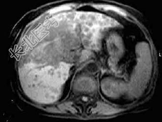
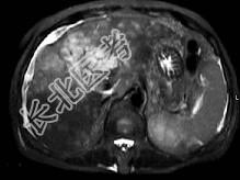
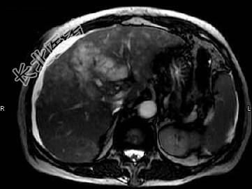
- 单项选择题根据所提供的图像,最可能的诊断是 ( )

A、胆管结石
B、肝癌
C、肝内多发囊肿
D、肝硬化
E、以上都不是
关注下方微信公众号,搜题查看答案

热门试题
- 临床诊断脂肪肝,影像科检查首选检查是哪个
- 根据所提供的图像,最可能的诊断为 (
- 患者男性,60岁, 腹痛5个月,黄疸、陶
- 1、应诊断哪种疾病2、进一步明确诊断需做
- 胃肠道造影检查图像中的"四相",不包括下
- 男性,31岁。发热, 白细胞计数增高,肝
- 弹簧状的套鞘征见于A、肠扭转B、肠套叠C
- 交感神经兴奋时 ( )A、消化道
- Freeny的肝血管瘤CT诊断三条标准为
- “珍珠项链征”是胆囊哪种疾病的特征性表现
- 右上腹痛伴黄疸,可能的诊断为A、胆囊癌B
- 关于肝脏淋巴瘤的影像学表现,错误的是A、
- 男,19岁, 腹胀,腹部隆起半年余, C
- 克罗恩(Crohn)病好发部位是A、十二
- 钡餐检查,回肠粘膜皱襞多呈 (
- 女性,32岁。腹痛, 腹泻便秘交替出现,
- 下列选项中哪项是结肠息肉最主要的临床表现
- 男,68岁, 上腹部隐痛二月余,CT检查
- 关于脾脏与周围器官的关系错误的是 (
- 骨髓移植患者发热,结合图像, 最可能的诊