试题详情
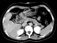
- 单项选择题根据所提供的图像,最可能的诊断为 ( )

A、肝平滑肌瘤
B、肝癌
C、肝血管瘤
D、局灶性结节增生
E、肝囊肿
关注下方微信公众号,搜题查看答案

热门试题
- 患者,男, 50岁,持续性上腹痛, 柏油
- 诊断先天性肥厚型幽门狭窄,最可靠的X线征
- 根据肝包虫囊肿的CT表现和特征,可分为A
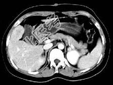
- 患者50岁,右上腹痛, 结合图像,最可能
- 脾肿大的诊断标准是A、上下>12cm,前
- 35岁男性,自述无不适, 体检US示全肝
- 下列有关色素性胆结石描述中,错误的有
- 关于正常肝脏的MRI表现,错误的是A、T
- 男,48岁, 吞咽不适、返酸3年,结合图
- 1、根据平扫下列疾病可能性最小的是(
- MRI扫描,包膜征最常见于 (
- 患者50岁,红细胞增多, 渐进性腹痛,结
- 小肠排空延迟,指口服钡剂超过几小时未全部
- 动态增强扫描加延迟扫描最主要用于以下哪一
- 下列肝包虫囊肿影像,提示有合并感染的有(
- 鉴别肝癌与肝血管瘤时,可采用的方法是A、
- 正常腹部平片上哪些脏器不能显示A、肝脏B
- 增殖型肠结核的X线表现主要为 (
- 胃肠道造影检查图像中的"四相",不包括下
- 下列说法不正确的是A、肝血管瘤边界一般较