试题详情
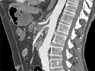
- 单项选择题根据所提供的图像,最可能的诊断是 ( )

A、淋巴瘤
B、腹膜后纤维化
C、胰腺癌
D、肝癌
E、以上都不是
关注下方微信公众号,搜题查看答案

热门试题
- 根据所提供的图像,最可能的诊断是 (
- 女,67岁, 进行性吞咽困难半年,X线及
- 以下关于脂肪肝病因正确的是 (
- 女,4岁, 大便潜血(++),结合图像,
- 结肠双对比X线造影检查可显示的最小解剖单
- 关于溃疡性结肠炎的影像表现,错误的是(
- 肠结核好发于A、直肠B、回肠C、回盲部D
- 患者体重增加了30.5Kg,结合图像,
- 关于胆囊癌的错误描述是( )A、多发
- 急性出血坏死性胰腺炎主要CT征象为
- 男,50岁, 进食梗阻1年,结合图像,
- 女,34岁, 右上腹胀痛不适,肝肋下3c
- 关于“真菌性食管炎”,下列描述哪项不正确
- 急性腹膜炎的X线表现,除外( )。A
- 胰腺钩突前面,CT显示二个血管断面,应是
- 女,33岁, 发热,中上腹压痛反跳痛,
- 下述胰腺囊腺瘤特点,哪项不正确 (
- 下列哪种病变与肝脏炎性假瘤的MRI表现最
- 常见钡剂造影胃的形态不包括A、牛角型B、
- 1、该患者应首先考虑2、上消化道钡餐检查