试题详情
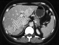
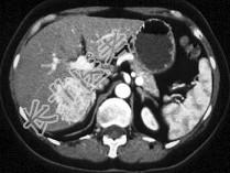
- 单项选择题根据所提供的图像,可除外下列哪种诊断 ( )

A、血管瘤
B、局灶性结节增生
C、肝脏腺瘤
D、肝癌
E、以上都不是
关注下方微信公众号,搜题查看答案

热门试题
- 女,47岁, 曾患乙肝,现右上腹及肝区疼
- 胃静脉曲张常发生的部位是 (
- 结合图像,最可能的诊断是 ( )
- 患者中年,大便次数增多, 结合图像,最可
- 肝脏血液循环的特点,以下观点哪项是对的
- 肝癌病灶可发生 ( )A、钙化
- 根据所提供的图像,最可能的诊断是 (
- 1、该患者应首先考虑的是A、肠炎B、溃疡
- 下列哪种疾病不宜行钡剂灌肠 (
- 克罗恩(Crohn)病有哪些并发症
- 患者,男,42岁。吞咽阻挡感6个月,食管
- 女,54岁, 上腹部胀痛1月余,结合图像
- 肝海绵状血管瘤的影像学表现中,包括A、抱
- 下列疾病中属于胆囊增生性疾病的是A、Mi
- 慢性胃炎按Schindler分类法是
- 下列哪项不是胃息肉的X线表现 (
- 患者,男性,38岁。钡餐示食管壁张力减低
- 男,72岁, 喉部异物感2~3天。体检:
- 下列关于急性胆囊炎的特有CT表现,错误的
- 患者40岁,女性, 肝区偶然发现一个团块