试题详情
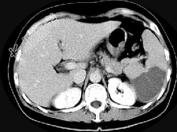
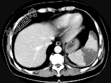
- 单项选择题女,54岁, 左上腹痛,CT检查如图, 最可能的诊断是 ( )

A、脾淋巴瘤
B、脾脓肿
C、脾梗死
D、脾血管瘤
E、脾转移癌
关注下方微信公众号,搜题查看答案

热门试题
- 胰腺钩突前面,CT显示二个血管断面,应是
- 关于胰腺CT断面解剖论述错误的是A、胰腺
- 食管粘膜一般有几条粘膜皱襞 (
- Budd-Chiari综合征的CT表现,
- 艾滋病患者,腹痛, 结合图像,最可能的诊
- 女性,50岁, 因右上腹痛2个月入院。腹
- 慢性阑尾炎最主要的X线表现是 (
- 胆总管重度扩张并且在胰头下方突然截断消失
- 关于细菌性肝脓肿,下列说法错误的是(
- 典型肝脏血管瘤的MRI表现是 (
- 下述食管癌X线征象不正确的是A、黏膜皱襞
- 下列哪些属于过敏性结肠炎X线表现 (
- 进行性梗阻性黄疸患者行快速增强扫描,胰头
- 下列肝脏病变的MRI特征描述,正确的是A
- 关于胰腺癌的MRI表现,正确的是A、T<
- 家族性结肠息肉综合征的有关说法,哪项是错
- 溃疡型肠结核的X线表现有 (
- 下列溃疡性结肠炎的晚期表现中,错误的是
- 关于该胰腺团块,结合图像, 最可能的诊断
- 下列关于Crohn病的CT表现叙述不正确