试题详情
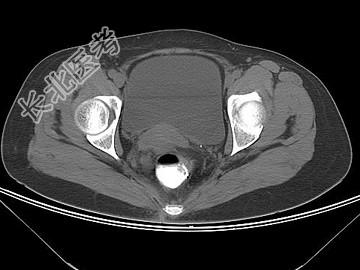
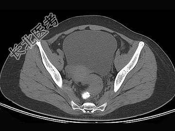
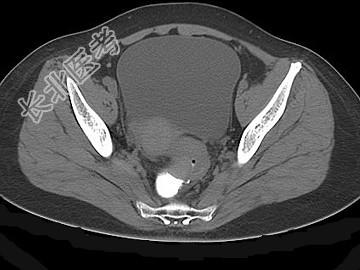
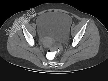
- 单项选择题女,67岁, 排便习惯改变,血便3月入院, CT检查如图所示,下列说法错误的是 ( )

A、直肠肠腔局限性增厚
B、其表面欠光整,边界欠清晰
C、可做直肠指检及活检以确定病变性质
D、此为直肠息肉
E、此为直肠癌
关注下方微信公众号,搜题查看答案

热门试题
- 食管造影通常可见下列哪些压迹A、主动脉弓
- 贲门痉挛的征象是A、食管下端不规则充盈缺
- 60岁男性患者,右上腹痛伴低热一月余。超
- 急性出血坏死性胰腺炎主要CT征象为
- 胃肠道支架置入术的禁忌证有 (
- 1、该患者结合临床和影像应考虑2、该病常
- 男,40岁, 黑便1周,半年来呕血两次。
- 下述胆囊癌CT征象,哪项不对A、胆囊未显
- 男,33岁, 腹部外伤后2月余,腹部疼痛
- 关于门静脉海绵样变,正确的描述是(
- 以下不是门静脉瘤栓CT表现的是A、平扫时
- 下列脾脏原发性恶性肿瘤中,哪种最为常见
- 食管异物最易发生的部位 ( )A
- 男,78岁,进行性吞咽困难1月余,结合图
- 根据所提供的图像,可除外下列哪种诊断
- 根据所提供的图像,该病例最可能的诊断为
- 胰头癌引起的十二指肠环改变为 (
- 典型的急性出血坏死性胰腺炎患者,CT扫描
- 与胰腺毗邻关系密切的大血管有哪些 (
- 急腹症患者CT检查异常表现有 (