试题详情
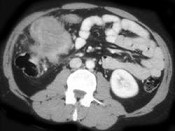
- 单项选择题男,42岁, 左下腹可触及一长条形肿块,结合图像, 最可能的诊断是 ( )

A、结肠间质瘤
B、结肠转移癌
C、结肠淋巴瘤
D、假膜性肠炎
E、结肠癌
关注下方微信公众号,搜题查看答案

热门试题
- 食管造影通常可见下列哪些压迹A、主动脉弓
- 女,58岁, 吞咽困难半年,结合图像,
- 进展性胃癌引起胃窦狭窄,壁僵硬,黏膜形态
- 成年男,右上腹不适, CT检查如图所示,
- 肝癌患者,平扫见肿瘤边缘更低密度环状带,
- 关于胃小区的叙述正确的是 ( )
- 这个急诊患者剧烈上腹痛,结合图像, 最可
- 男,33岁, 外伤后3天,肝区疼痛, C
- 肝局灶性结节增生中心纤维瘢痕含有的成分是
- 第三蠕动波见于A、食管静脉曲张B、食管癌
- 关于肝血色病,表述正确的是( )A、
- 正常肝脏MRI表现中,错误的是A、正常肝
- 小儿腹部平片出现“双气泡”征应诊断为A、
- 肝淋巴瘤的特点有( )A、门静脉期病
- 女,33岁, 右上腹疼1周,有口服避孕药
- 直肠癌时,在直肠周围脂肪组织中见到直径大
- 女,54岁, 左上腹痛,CT检查如图,
- 胆道梗阻最好发的部位是 ( )A
- 细菌性肝脓肿的主要感染途径不包括 (
- 属于阑尾异位阑尾的位置是A、盲肠内侧B、