试题详情
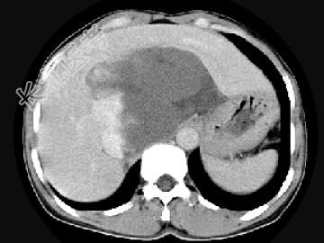
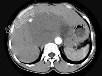
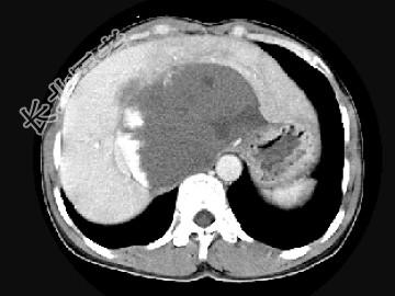
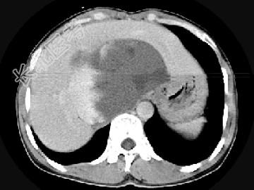
- 单项选择题女,48岁, 中上腹不适,CT扫描如图, 最可能的诊断为 ( )

A、原发性肝癌
B、胆管细胞癌
C、肝血管内皮瘤
D、肝血管瘤
E、小肠间质瘤
关注下方微信公众号,搜题查看答案

热门试题
- 下列有关“非梗阻性胃扩张”原因中,错误的
- 下述哪项不是真菌性肝脓肿的诱发因素
- 正常肠道气体分布最多的部位应该是A、十二
- 空回肠良性肿瘤中以哪些常见A、腺癌B、畸
- 胆囊癌MRI检查主要的表现为A、淋巴结转
- 胃癌血管性介入治疗的禁忌证有哪些A、进展
- MRI成像,肝占位“靶征”指 (
- 关于脾淋巴瘤,错误的描述是( )A、
- 胃溃疡的直接征象是A、痉挛性切迹B、潴留
- 男,18岁,疲乏,贫血貌,CT示脾前缘近
- 按胆结石的化学成分划分,胆囊结石分为哪三
- 下列不可复性食管裂孔疝的征象中,错误的是
- 男,42岁, 左下腹可触及一长条形肿块,
- 男,5岁, 腹痛,黏液便并偶带血10余天
- 进行性梗阻性黄疸患者行快速增强扫描,胰头
- 关于肠系膜上静脉血栓形成,正确的描述是(
- 1、依据上述临床表现,患者可能患(
- CT对于肝脏钝性外伤的检查目的,下列不正
- 胃癌的好发部位依次是A、 贲门、胃窦、胃
- 女,54岁, 超声体检发现肝右后叶直径约