试题详情
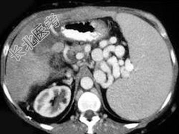
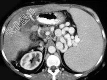
- 单项选择题男,50岁, 患乙肝多年,现腹胀, 右上腹痛,消化不良, 消瘦、乏力、贫血、黄疸,血清转氨酶升高, 白蛋白/球蛋白比值倒置。CT检查如下图,最可能的诊断是 ( )

A、肝硬化、肝癌
B、肝硬化、腹膜后淋巴结肿大
C、肝硬化、肝癌、腹膜后淋巴结肿大
D、肝硬化、门脉高压、脾大
E、肝硬化、脾大
关注下方微信公众号,搜题查看答案

热门试题
- 女,50岁, 曾患乙型肝炎,肝硬化多年,
- 胆囊癌的CT表现分四型,下列哪型是错误的
- 下述表现中,哪些与“胃溃疡”无关 (
- 不属于胃溃疡间接征象的是A、痉挛性改变B
- 关于脾血管瘤的描述,错误的是 (
- 布-加综合征介入治疗的并发症不包括A、心
- 根据所提供的图像,最可能的诊断为 (
- 胃静脉曲张常发生的部位是 (
- 根据所提供的图像,最可能的诊断是 (
- 我国引起肝硬化最主要的原因是A、酒精中毒
- 良性胃溃疡患者,龛影周围表现中, 正确的
- 在慢性胰腺炎的显示中,MRI优于CT的是
- 下列不是良性胃溃疡的X线征象的是A、项圈
- 关于消化道出血灌注止血药物,正确的是
- 阑尾炎的临床表现有哪些 ( )
- 关于胆管系统功能紊乱,下列叙述哪项是错误
- 40岁男性患者,消化道钡餐示食管壁蠕动减
- 关于肝脏囊腺瘤,下列说法正确的是(
- 外伤患者,如图所示, 最可能的诊断为
- 灯泡征最常见于 ( )A、肝腺瘤