试题详情
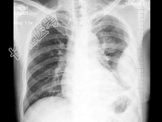
- 单项选择题如图所示,左侧胸部病变, 最可能的诊断为 ( )

A、包裹性积液
B、恶性胸膜间皮瘤
C、左下肺脓肿
D、左下肺癌
E、左侧胸腔积液
关注下方微信公众号,搜题查看答案

热门试题
- 患者,男, 45岁。体检发现左肺下叶有一
- 下列肺挫伤的诊断要点,错误的是 (
- 男性,61岁。痰中带血, X线表现如图所
- 不引起纵隔移位的是 ( )A、阻
- 女,36岁, 左胸部疼痛不适5天,CT图
- 游离性胸腔积液X线表现描述错误的是A、患
- 某女性,30岁, 照片发现右前上纵隔有一
- 在X线诊断中"肺门”包括以下哪些结构
- 男,3岁, 咳嗽、低热2周余,不咯血、咳
- 肺结核的确诊方法为A、CTB、体层摄影C
- 淋巴瘤纵隔肿大淋巴结的分布以哪组最常见
- 下列胸部疾患X线摄影位置,正确的是A、肺
- 1、关于该病急性期的说法中,不正确的是(
- 1、可能性最大的诊断 ( )2、
- 患者突发胸痛气急,呼吸困难, 胸片如图,
- 下列哪一项不是周围型肺癌的影像学表现A、
- 患者,男,15岁,低热,胸痛4天,X线胸
- 下列为肺内腔隙呈病理性扩大所致,透光区周
- 有关纵隔淋巴结,正确的是 ( )
- 应进行胸部增强CT检查的可疑疾病是