试题详情
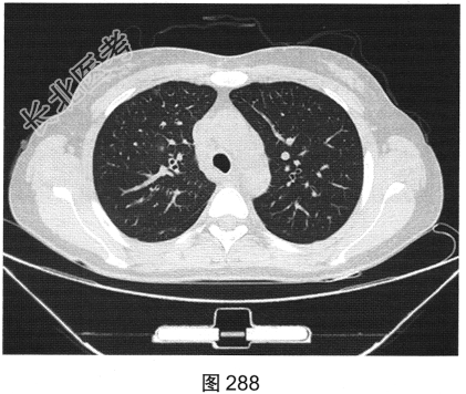
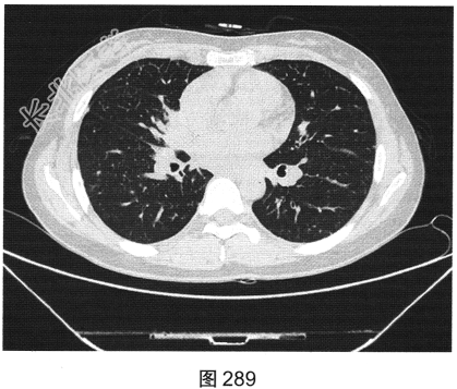
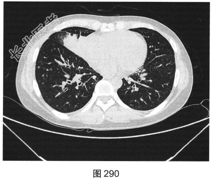
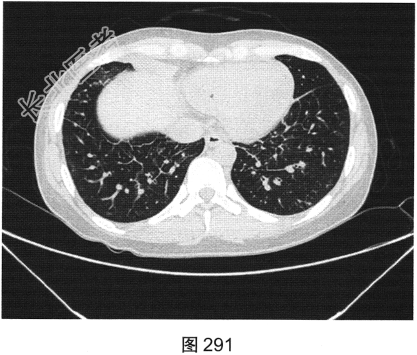
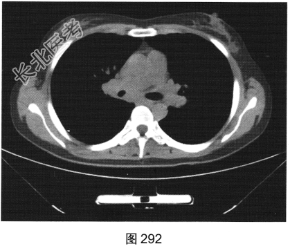
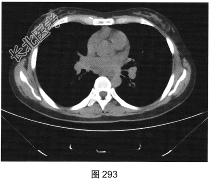
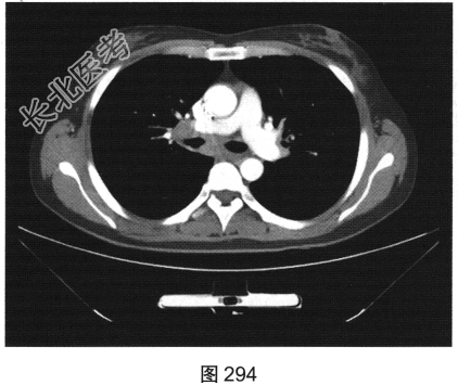
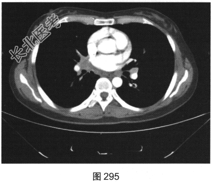
- [材料题] 患者女性,43岁,因“确诊肺低分化腺癌1周”就诊。患者于2014年11月无明显诱因出现咳嗽、咳痰,无胸闷胸痛,无咯血,无发热、乏力、体重减轻等。自服中药治疗,止咳效果尚可。2015年4月22日在山海关人民医院行胸部CT:显示①慢性支气管炎继发感染,建议结合临床及病史考虑;②右侧中间段支气管及中叶支气管壁增厚、管腔狭窄伴右肺中叶阻塞性肺不张,右侧肺门及纵隔多发淋巴结增大,建议增强扫描。后补做增强CT:右肺中叶支气管增厚,管腔狭窄伴阻塞性肺不张,考虑右侧中心型肺癌伴纵隔多发淋巴结增大,建议行支气管镜检查。支气管镜取活检病理:示低分化腺(右肺中叶)癌,建议做免疫组织化学检测,以进一步明确诊断。于北京肿瘤医院行PET/CT检查:①右肺中叶支气管起始部位高代谢结节,符合中心型肺癌表现;右肺中叶部位阻塞性不张,不张肺内高代谢结节,倾向肺内转移;双肺多发转移结节;双锁骨上区、左胸肌间、纵隔及双肺门多发淋巴结转移。②脑部未见明显高代谢征象,建议行增强MRI检查。③双叶甲状腺炎性或非特异性摄取,建议行B超及甲状腺功能检查。患者精神状态良好,体力、食欲、睡眠均正常,体重无明显变化,大便、排尿正常,为进一步检查及治疗,门诊以“肺癌”收入院。2015年5月5日在我院行CT检查,如图288~图295所示。








- 多项选择题1.肺内容易出现小叶间隔及血管支气管束增厚的疾病有( )
A、间质性肺水肿
B、结节病
C、肺结核
D、白血病
E、淋巴瘤
F、癌性淋巴管炎
关注下方微信公众号,搜题查看答案

- 多项选择题2.引起肺内癌性淋巴管炎的常见原发病变有( )
A、胰腺癌
B、乳腺癌
C、肺腺癌
D、胃癌
E、前列腺癌
F、甲状腺癌
关注下方微信公众号,搜题查看答案

- 多项选择题3.对癌性淋巴管炎描述不正确的是( )
A、腺癌居多
B、可局限单肺叶或段,也可弥漫双肺
C、胸腔积液
D、先出现肺门淋巴结转移
E、可同时伴有双肺血行转移
F、可出现肺组织牵拉改变
关注下方微信公众号,搜题查看答案

- 多项选择题4.中央型肺癌常见的病理类型有( )
A、肺腺癌
B、肺鳞状细胞癌
C、肺腺鳞癌
D、小细胞癌
E、类癌
F、大细胞癌
关注下方微信公众号,搜题查看答案

热门试题
- 患者,男,23岁。低热,右胸刺痛,活动后
- 下列胸部CT检查特点的描述,错误的是(
- 肺转移瘤的CT表现有 ( )A
- 关于气管支气管断裂,下列描述错误的是
- 不规则型肺气肿常分布在 ( )A
- 关于急性粟粒型肺结核的说法中,以下不正确
- 关于肺吸虫病,下列描述错误的是 (
- 下列乳腺病变,可见钙化的是( )。A
- 透视发现右前上纵隔有一椭圆形块影,其中有
- 肺错构瘤的典型钙化是( )A、沙砾样
- 肺间质包含下列哪些成分A、肺泡间隔B、小
- 参与右肺门构成的有 ( )A、
- 患者突发胸痛气急,呼吸困难, 胸片如图,
- 肺癌放射治疗时脊髓受量一般要控制在___
- 后前位胸片于右主支气管角部可见小椭圆形致
- 1、最可能的诊断是2、为明确诊断,进一步
- 多见于婴幼儿,且为恶性病变的是 (
- 男,16岁, 突感呼吸困难,大汗淋漓,
- 厚壁空洞和薄壁空洞壁厚的界定标准为A、1
- 引起狭窄后肺动脉扩张的是A、瓣下漏斗部狭