试题详情
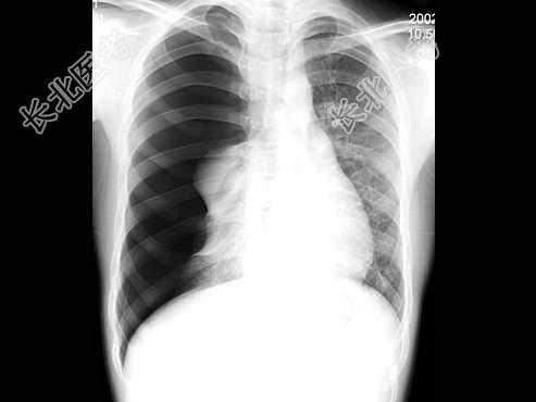
- 单项选择题男,16岁, 突感呼吸困难,大汗淋漓, 胸片检查如图,最可能的诊断是 ( )

A、右侧肺气肿
B、右侧肺部肿块
C、右侧气胸
D、右侧肺大泡
E、右侧肺挫伤
关注下方微信公众号,搜题查看答案

热门试题
- 该病例最可能的诊断为 ( )
- 关于周围型肺癌X线表现,下列哪项描述不对
- 下列关于肺转移瘤的描述错误的是A、人体许
- 男性,28岁。夜间突感胸闷, 呼吸困难,
- 大叶性肺炎可累及( )。A、肺叶的大
- 慢性支气管炎患者胸部CT可见的征象有A、
- 继发性肺结核以渗出浸润为主型的X线表现,
- 青年女性,前纵隔囊性肿物, 内有脂肪-液
- 患者男,42岁,高热,寒战,咳嗽,胸痛1
- 关于胸骨后甲状腺的描述,错误的是 (
- 周围型肺癌是指肿瘤发生在( )。A、
- 肺静脉高压诊断的重要指征是 (
- 类癌的类型中不包括 ( )A、典
- 青少年患者,呼吸短促,最可能的诊断是
- 有关肺隔离症,正确的是A、多以咳嗽、胸痛
- 不引起纵隔移位的是 ( )A、阻
- 1、最可能的诊断为2、纵隔淋巴结增大的判
- 肺隔离症MRI可见到的表现 (
- 关于特发性肺间质纤维化,正确的是A、为感
- 小叶性肺炎发病开始后多少小时内,往往没有