试题详情
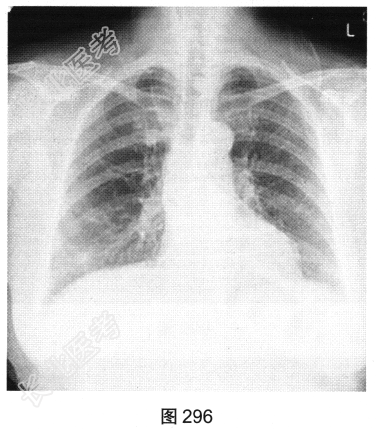
- [材料题] 患者女性,38岁,咳嗽、咳白痰10个月,伴活动后喘憋,无发热、盗汗、咯血、胸痛、胸闷、腹泻、腹胀等。胸部X线片如图296、图297所示。


- 多项选择题1.从患者的胸部X线片中可见哪些阳性征象( )
A、双肺纹理增粗
B、右肺尖高密度结节
C、右肺下野高密度斑片影
D、双侧肋膈角钝
E、双肺门增大
F、右肺下野囊状透亮影
关注下方微信公众号,搜题查看答案

- 多项选择题2.为进一步明确诊断,应优先选择哪项检查( )
A、胸部高分辨率CT(HRCT)
B、超声心动图
C、纤维支气管镜检查
D、肺功能检查
E、胸部MRI检查
F、V/Q显像
关注下方微信公众号,搜题查看答案

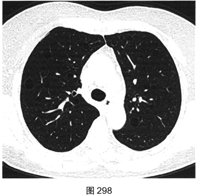
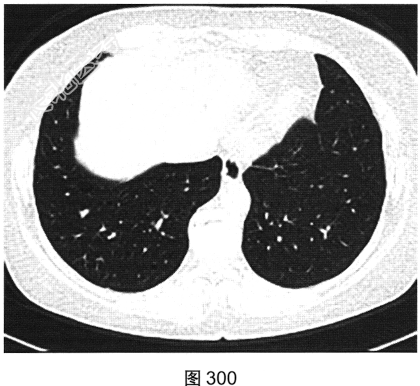
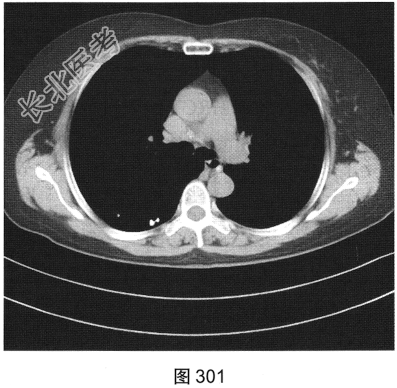
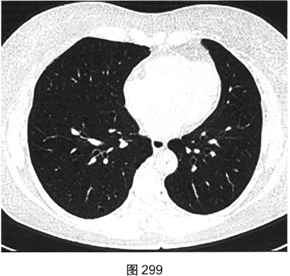
- 多项选择题3.[提示]HRCT图像如图298~图301所示。从患者的HRCT图像中可见哪些阳性征象( )



A、双侧腋窝及纵隔内多发增大淋巴结
B、双肺多发薄壁透亮影
C、小叶间隔增厚
D、右肺多发钙化结节灶
E、双肺多发磨玻璃样密度影
F、支气管扩张
关注下方微信公众号,搜题查看答案

- 多项选择题4.[提示]患者免疫筛查:ANA、RA及干燥综合征相关抗体谱、ACE(一)。根据患者免疫筛查结果, 结合其临床表现和CT影像特征,应优先考虑的诊断是( )
A、肺朗格罕细胞组织细胞增生症
B、支气管扩张
C、淋巴细胞性间质性肺炎
D、肺淋巴管平滑肌瘤病
E、特发性肺间质纤维化
F、肺气肿
关注下方微信公众号,搜题查看答案

热门试题
- 癌性空洞周围结构的改变最常见的为A、纤维
- 慢性肺脓肿空洞可以是( )。A、圆形
- 肺动静脉瘘的X线表现中,以哪项诊断价值最
- 女,25岁, 胸背痛半月余,胸片如图,
- 男,47岁。胸痛,渐进性呼吸困难3月。M
- 下列肺挫伤的诊断要点,错误的是 (
- 诊断中央型肺癌,MRI在哪一方面不如CT
- 该患者的最可能的诊断为 ( )
- 机遇性肺炎包括( )A、病毒性肺炎B
- 女,34岁, 反复咳嗽20余年,结合图像
- 心包上隐窝与气管前淋巴结的鉴别要点不包括
- 肺癌放射治疗时脊髓受量一般要控制在___
- 患儿,男, 1天,生后呼吸困难, 羊水见
- 下述原因中,属毛细血管内静水压升高引起的
- 肺部CT的应用指征不包括 ( )
- 中央型肺水肿典型X线征象是 (
- 下叶肺不张的X线表现描述中不正确的是A、
- 下列疾病好发于前纵隔的有A、心包囊肿B、
- 男婴,11月, 咳嗽,结合图像, 最可能
- 下列关于肺泡微石症的描述,错误的是